中文名稱: 兔抗GSC多克隆抗體
|
Background: |
This gene encodes a member of the bicoid subfamily of the paired (PRD) homeobox family of proteins. The encoded protein acts as a transcription factor and may be autoregulatory. A similar protein in mice plays a role in craniofacial and rib cage development during embryogenesis. |
|
Applications: |
ELISA, IHC |
|
Name of antibody: |
GSC |
|
Immunogen: |
Synthetic peptide of human GSC |
|
Full name: |
goosecoid homeobox |
|
Synonyms: |
SAMS |
|
SwissProt: |
P56915 |
|
ELISA Recommended dilution: |
5000-10000 |
|
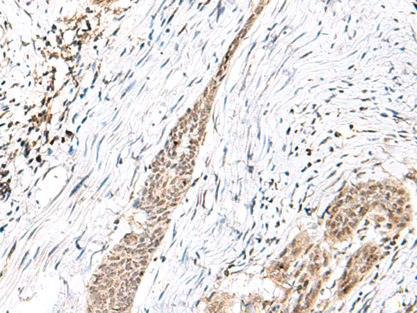
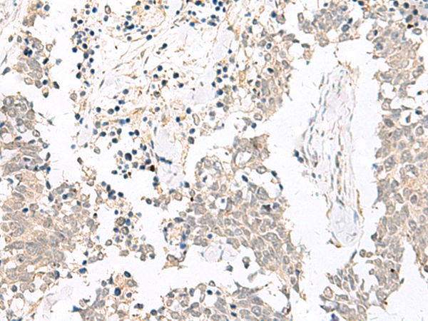
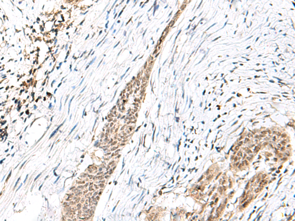
IHC positive control: |
Human lung cancer and Human esophagus cancer |
|
IHC Recommend dilution: |
20-100 |

購物車
幫助
021-54845833/15800441009
