中文名稱:兔抗BRWD1多克隆抗體
|
Background: |
This gene encodes a member of the WD repeat protein family. WD repeats are minimally conserved regions of approximately 40 amino acids typically bracketed by gly-his and trp-asp (GH-WD) residues which may facilitate formation of heterotrimeric or multiprotein complexes. Members of this family are involved in a variety of cellular processes including cell cycle progression, signal transduction, apoptosis, and gene regulation. This protein contains 2 bromodomains and multiple WD repeats. This gene is located within the Down syndrome region-2 on chromosome 21. Alternative splicing of this gene generates multiple transcript variants encoding distinct isoforms. In mouse, this gene encodes a nuclear protein that has a polyglutamine-containing region that functions as a transcriptional activation domain which may regulate chromatin remodelling and associates with a component of the SWI/SNF chromatin remodelling complex. |
|
Applications: |
ELISA, IHC |
|
Name of antibody: |
BRWD1 |
|
Immunogen: |
Synthetic peptide of humanBRWD1 |
|
Full name: |
bromodomain and WD repeat domain containing 1 |
|
Synonyms: |
N143; WDR9; C21orf107 |
|
SwissProt: |
Q9NSI6 |
|
ELISA Recommended dilution: |
2000-5000 |
|
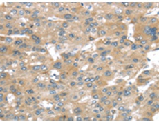
IHC positive control: |
Human liver cancer |
|
IHC Recommend dilution: |
25-100 |

購物車
幫助
021-54845833/15800441009
