中文名稱:兔抗BRD9多克隆抗體
|
Background: |
May play a role in chromatin remodeling and regulation of transcription. |
|
Applications: |
ELISA, WB, IHC |
|
Name of antibody: |
BRD9 |
|
Immunogen: |
Fusion protein of human BRD9 |
|
Full name: |
bromodomain containing 9 |
|
Synonyms: |
PRO9856; LAVS3040 |
|
SwissProt: |
Q9H8M2 |
|
ELISA Recommended dilution: |
5000-10000 |
|
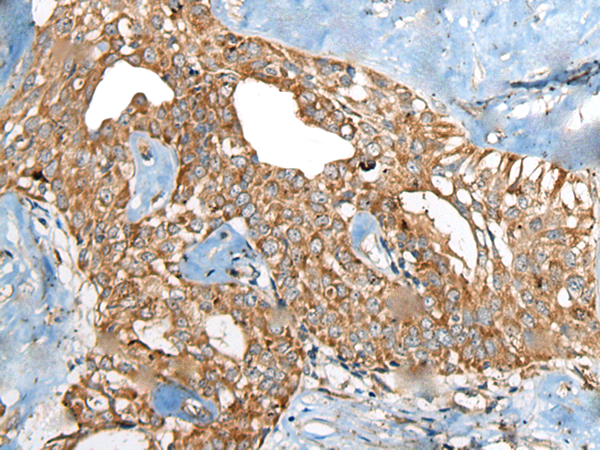
IHC positive control: |
Human thyroid cancer |
|
IHC Recommend dilution: |
50-300 |
|
WB Predicted band size: |
67 kDa |
|
WB Positive control: |
Jurkat cell lysate |
|
WB Recommended dilution: |
500-2000 |


購物車
幫助
021-54845833/15800441009
