中文名稱: 兔抗UBE4A多克隆抗體
|
Background: |
This gene encodes a member of the U-box ubiquitin ligase family. The encoded protein is involved in multiubiquitin chain assembly and plays a critical role in chromosome condensation and separation through the polyubiquitination of securin. Autoantibodies against the encoded protein may be markers for scleroderma and Crohn's disease. A pseudogene of this gene is located on the long arm of chromosome 3. Alternatively spliced transcript variants encoding multiple isoforms have been observed for this gene. |
|
Applications: |
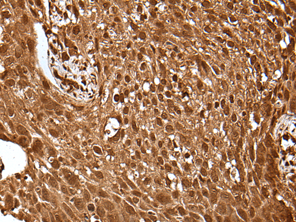
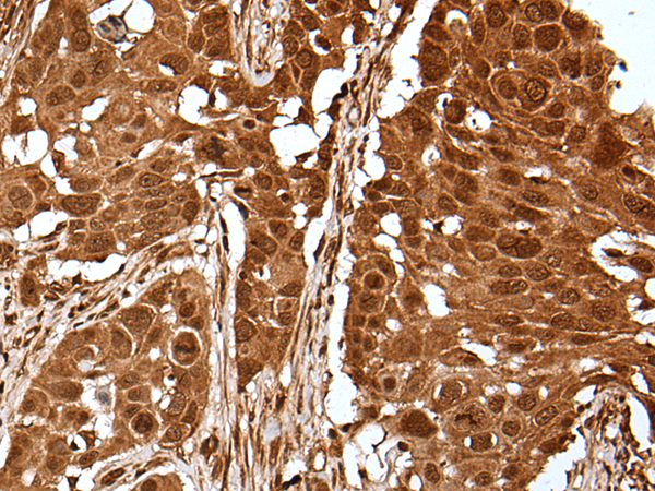
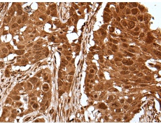
ELISA, IHC |
|
Name of antibody: |
UBE4A |
|
Immunogen: |
Fusion protein of human UBE4A |
|
Full name: |
ubiquitination factor E4A |
|
Synonyms: |
E4; UFD2; UBOX2 |
|
SwissProt: |
Q14139 |
|
ELISA Recommended dilution: |
5000-10000 |
|
IHC positive control: |
Human tonsil and human breast cancer |
|
IHC Recommend dilution: |
25-100 |

購物車
幫助
021-54845833/15800441009
