|
Background: |
The protein encoded by this gene binds transforming growth factor beta (TGFB) as it is secreted and targeted to the extracellular matrix. TGFB is biologically latent after secretion and insertion into the extracellular matrix, and sheds TGFB and other proteins upon activation. Defects in this gene may be a cause of cutis laxa and severe pulmonary, gastrointestinal, and urinary abnormalities. Three transcript variants encoding different isoforms have been found for this gene. |
|
Applications: |
ELISA, IHC |
|
Name of antibody: |
LTBP4 |
|
Immunogen: |
Synthetic peptide of human LTBP4 |
|
Full name: |
latent transforming growth factor beta binding protein 4 |
|
Synonyms: |
ARCL1C; LTBP-4; LTBP4L; LTBP4S |
|
SwissProt: |
Q8N2S1 |
|
ELISA Recommended dilution: |
5000-10000 |
|
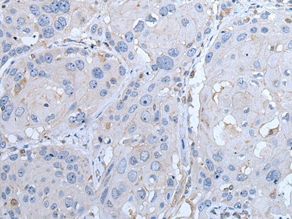
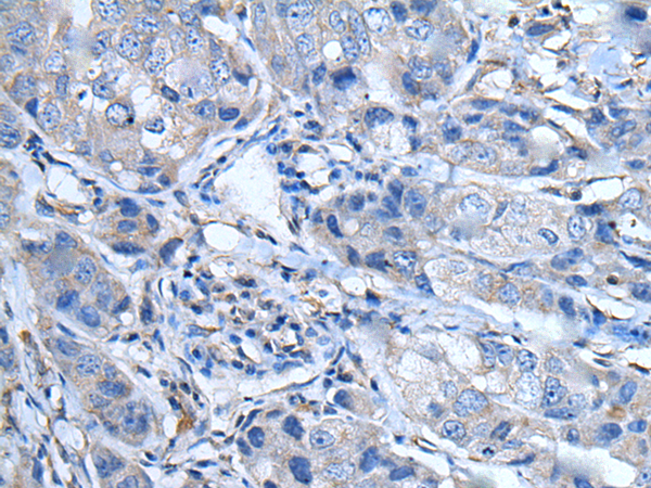
IHC positive control: |
Human esophagus cancer and human breast cancer |
|
IHC Recommend dilution: |
25-100 |


購物車
幫助
021-54845833/15800441009
