中文名稱:兔抗BCHE多克隆抗體
|
Background: |
Mutant alleles at the BCHE locus are responsible for suxamethonium sensitivity. Homozygous persons sustain prolonged apnea after administration of the muscle relaxant suxamethonium in connection with surgical anesthesia. The activity of pseudocholinesterase in the serum is low and its substrate behavior is atypical. In the absence of the relaxant, the homozygote is at no known disadvantage. |
|
Applications: |
ELISA, IHC |
|
Name of antibody: |
BCHE |
|
Immunogen: |
Fusion protein of human BCHE |
|
Full name: |
butyrylcholinesterase |
|
Synonyms: |
E1; CHE1; CHE2 |
|
SwissProt: |
P06276 |
|
ELISA Recommended dilution: |
5000-10000 |
|
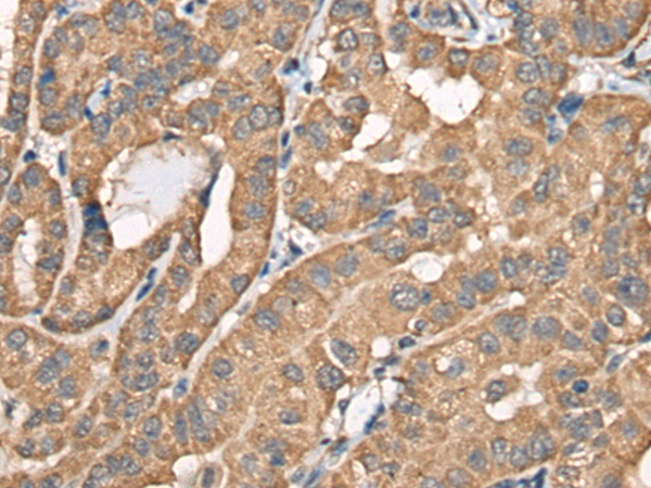
IHC positive control: |
Human thyroid cancer and human gastric cancer |
|
IHC Recommend dilution: |
40-200 |


購(gòu)物車
幫助
021-54845833/15800441009
