|
Background: |
This gene encodes a member of the tropomodulin family. The encoded protein is an actin-capping protein that regulates tropomyosin by binding to its N-terminus, inhibiting depolymerization and elongation of the pointed end of actin filaments and thereby influencing the structure of the erythrocyte membrane skeleton. Multiple transcript variants encoding the same protein have been found for this gene. |
|
Applications: |
ELISA, WB, IHC |
|
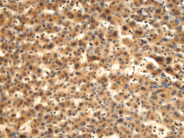
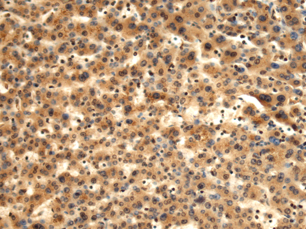
Name of antibody: |
TMOD1 |
|
Immunogen: |
Fusion protein of human TMOD1 |
|
Full name: |
tropomodulin 1 |
|
Synonyms: |
TMOD; ETMOD; D9S57E |
|
SwissProt: |
P28289 |
|
ELISA Recommended dilution: |
5000-10000 |
|
IHC positive control: |
Human liver cancer |
|
IHC Recommend dilution: |
100-300 |
|
WB Predicted band size: |
41 kDa |
|
WB Positive control: |
Mouse heart tissue lysate |
|
WB Recommended dilution: |
1000-5000 |

購物車
幫助
021-54845833/15800441009
