中文名稱:兔抗B3GALT1多克隆抗體
|
Background: |
This gene is a member of the beta-1,3-galactosyltransferase (beta3GalT) gene family. This family encodes type II membrane-bound glycoproteins with diverse enzymatic functions using different donor substrates (UDP-galactose and UDP-N-acetylglucosamine) and different acceptor sugars (N-acetylglucosamine, galactose, N-acetylgalactosamine). The beta3GalT genes are distantly related to the Drosophila Brainiac gene and have the protein coding sequence contained in a single exon. The beta3GalT proteins also contain conserved sequences not found in the beta4GalT or alpha3GalT proteins. The carbohydrate chains synthesized by these enzymes are designated as type 1, whereas beta4GalT enzymes synthesize type 2 carbohydrate chains. The ratio of type 1:type 2 chains changes during embryogenesis. By sequence similarity, the beta3GalT genes fall into at least two groups: beta3GalT4 and 4 other beta3GalT genes (beta3GalT1-3, beta3GalT5). This gene is expressed exclusively in the brain. The encoded protein shows strict donor substrate specificity for UDP-galactose. |
|
Applications: |
WB |
|
Name of antibody: |
B3GALT1 |
|
Immunogen: |
Synthesized peptide derived from internal of human B3GALT1. |
|
Full name: |
UDP-Gal:betaGlcNAc beta 1,3-galactosyltransferase, polypeptide 1 |
|
Synonyms: |
beta3Gal-T1 |
|
SwissProt: |
Q9Y5Z6 |
|
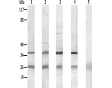
WB Predicted band size: |
38 kDa |
|
WB Positive control: |
HepG2 cells, Jurkat cells, COLO cells and Huvec cells lysates |
|
WB Recommended dilution: |
500-3000 |

購(gòu)物車(chē)
幫助
021-54845833/15800441009
