中文名稱: 兔抗ARHGEF6多克隆抗體
|
Background: |
Rho GTPases play a fundamental role in numerous cellular processes that are initiated by extracellular stimuli that work through G protein coupled receptors. The encoded protein belongs to a family of cytoplasmic proteins that activate the Ras-like family of Rho proteins by exchanging bound GDP for GTP. It may form a complex with G proteins and stimulate Rho-dependent signals. This protein is activated by PI3-kinase. Mutations in this gene can cause X-chromosomal non-specific mental retardation. |
|
Applications: |
ELISA, IHC |
|
Name of antibody: |
ARHGEF6 |
|
Immunogen: |
Synthetic peptide of human ARHGEF6 |
|
Full name: |
Rac/Cdc42 guanine nucleotide exchange factor (GEF) 6 |
|
Synonyms: |
PIXA; COOL2; MRX46; Cool-2; alphaPIX; alpha-PIX |
|
SwissProt: |
Q15052 |
|
ELISA Recommended dilution: |
1000-5000 |
|
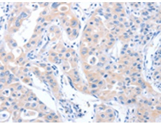
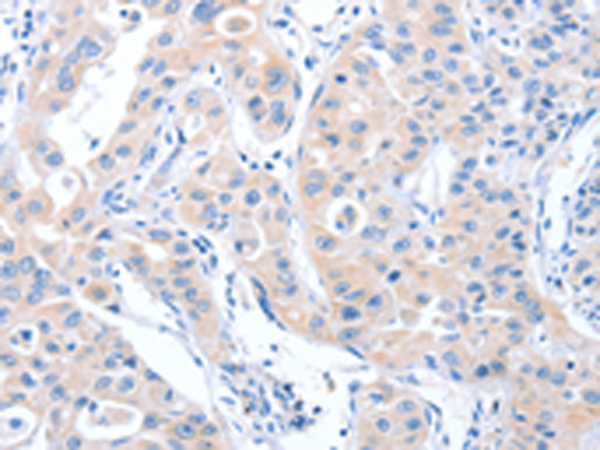
IHC positive control: |
Human lung cancer |
|
IHC Recommend dilution: |
50-200 |
購(gòu)物車
幫助
021-54845833/15800441009
