中文名稱(chēng): 兔抗APP(Phospho-Thr743/668) 多克隆抗體
|
Background: |
This gene encodes a cell surface receptor and transmembrane precursor protein that is cleaved by secretases to form a number of peptides. Some of these peptides are secreted and can bind to the acetyltransferase complex APBB1/TIP60 to promote transcriptional activation, while others form the protein basis of the amyloid plaques found in the brains of patients with Alzheimer disease. In addition, two of the peptides are antimicrobial peptides, having been shown to have bacteriocidal and antifungal activities. |
|
Applications: |
WB, IHC, IF |
|
Name of antibody: |
APP(Phospho-Thr743/668) |
|
Immunogen: |
Peptide sequence around phosphorylation site of threonine743 /668 (A-V-T(p)-P-E) derived from Human Amyloid β A4. |
|
Full name: |
amyloid beta (A4) precursor protein |
|
Synonyms: |
AAA; AD1; PN2; ABPP; APPI; CVAP; ABETA; PN-II; CTFgamma |
|
SwissProt: |
P05067 |
|
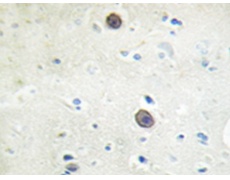
IHC positive control: |
Human brain tissue |
|
IHC Recommend dilution: |
50-100 |
|
WB Predicted band size: |
87 kDa |
|
WB Positive control: |
COS7 cells lysates |
|
WB Recommended dilution: |
500-1000 |
|
IF positive control: |
Hela cells |
|
IF Recommend dilution: |
100-200 |



購(gòu)物車(chē)
幫助
021-54845833/15800441009
