|
Background: |
Synaptobrevins/VAMPs, syntaxins, and the 25-kD synaptosomal-associated protein are the main components of a protein complex involved in the docking and/or fusion of vesicles and cell membranes. The VAMP5 gene is a member of the vesicle-associated membrane protein (VAMP)/synaptobrevin family and the SNARE superfamily. This VAMP family member may participate in vesicle trafficking events that are associated with myogenesis. |
|
Applications: |
ELISA, IHC |
|
Name of antibody: |
VAMP5 |
|
Immunogen: |
Full length fusion protein |
|
Full name: |
vesicle-associated membrane protein 5 |
|
SwissProt: |
O95183 |
|
ELISA Recommended dilution: |
2000-5000 |
|
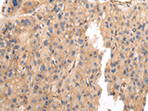
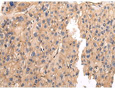
IHC positive control: |
Human prostate cancer and Human thyroid cancer |
|
IHC Recommend dilution: |
25-100 |

購物車
幫助
021-54845833/15800441009
