|
Background: |
The protein encoded by this gene is a member of the fibroblast growth factor (FGF) family. FGF family members possess broad mitogenic and cell survival activities, and are involved in a variety of biological processes, including embryonic development, cell growth, morphogenesis, tissue repair, tumor growth and invasion. The function of this gene has not yet been determined. The expression pattern of the mouse homolog implies a role in nervous system development. Alternative splicing results in multiple transcript variants. |
|
Applications: |
ELISA, IHC |
|
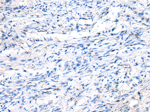
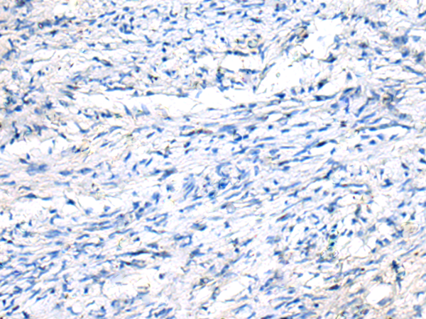
Name of antibody: |
FGF11 |
|
Immunogen: |
Synthetic peptide of human FGF11 |
|
Full name: |
fibroblast growth factor 11 |
|
Synonyms: |
FHF3; FHF-3; FGF-11 |
|
SwissProt: |
Q92914 |
|
ELISA Recommended dilution: |
5000-10000 |
|
IHC positive control: |
Human ovarian cancer |
|
IHC Recommend dilution: |
25-50 |

購物車
幫助
021-54845833/15800441009
