|
Background: |
SPARCL1 also known as high endothelial venule protein (Hevin) or MAST9, is a 664 amino acid member of the SPARC family of proteins. Highly expressed in lymph node, heart, lung, brain, skeletal muscle, ovary, colon and small intestine, SPARCL1 is a secreted protein that contains one EF-hand domain, one follistatin-like |
|
Applications: |
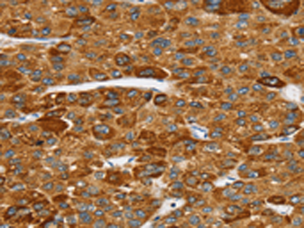
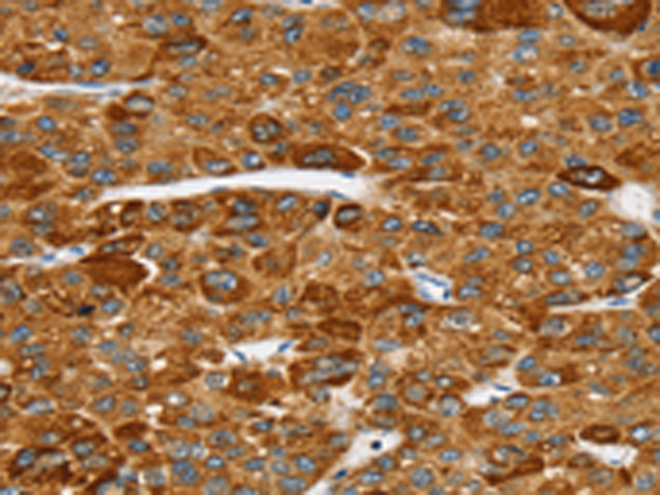
ELISA, IHC |
|
Name of antibody: |
SPARCL1 |
|
Immunogen: |
Synthetic peptide of human SPARCL1 |
|
Full name: |
SPARC-like 1 (hevin) |
|
Synonyms: |
SC1; MAST9; PIG33; MAST 9 |
|
SwissProt: |
Q14515 |
|
ELISA Recommended dilution: |
2000-5000 |
|
IHC positive control: |
Human liver cancer and Human breast cancer |
|
IHC Recommend dilution: |
25-100 |
購物車
幫助
021-54845833/15800441009
