|
Background: |
This gene encodes an enzyme found in the perinuclear Golgi which catalyzes the synthesis of UDP-xylose used in glycosaminoglycan (GAG) synthesis on proteoglycans. The GAG chains are covalently attached to proteoglycans which participate in signaling pathways during development. Multiple transcript variants encoding different isoforms have been found for this gene. |
|
Applications: |
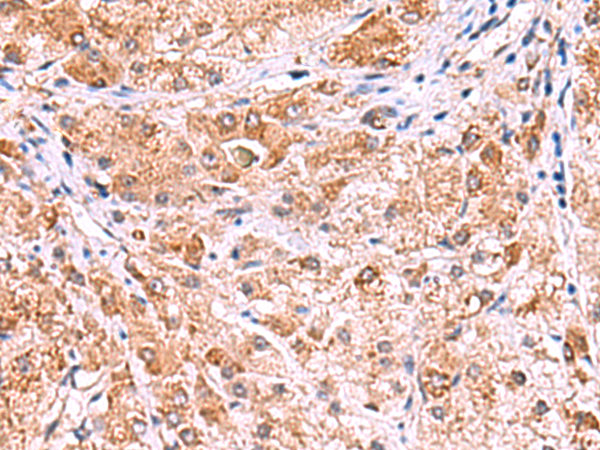
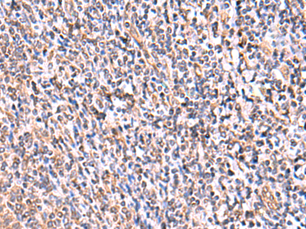
ELISA, IHC |
|
Name of antibody: |
UXS1 |
|
Immunogen: |
Fusion protein of human UXS1 |
|
Full name: |
UDP-glucuronate decarboxylase 1 |
|
Synonyms: |
UGD; SDR6E1 |
|
SwissProt: |
Q8NBZ7 |
|
ELISA Recommended dilution: |
5000-10000 |
|
IHC positive control: |
Human liver cancer and Human tonsil |
|
IHC Recommend dilution: |
50-300 |

購(gòu)物車(chē)
幫助
021-54845833/15800441009
