|
Background: |
This gene belongs to the TIMP gene family. The proteins encoded by this gene family are inhibitors of the matrix metalloproteinases, a group of peptidases involved in degradation of the extracellular matrix (ECM). Expression of this gene is induced in response to mitogenic stimulation and this netrin domain-containing protein is localized to the ECM. Mutations in this gene have been associated with the autosomal dominant disorder Sorsby's fundus dystrophy. |
|
Applications: |
ELISA, WB, IHC |
|
Name of antibody: |
TIMP3 |
|
Immunogen: |
Fusion protein of human TIMP3 |
|
Full name: |
TIMP metallopeptidase inhibitor 3 |
|
Synonyms: |
SFD; K222; K222TA2; HSMRK222 |
|
SwissProt: |
P35625 |
|
ELISA Recommended dilution: |
1000-2000 |
|
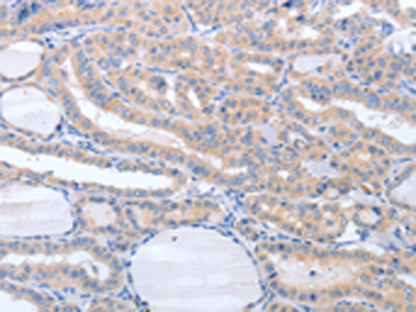
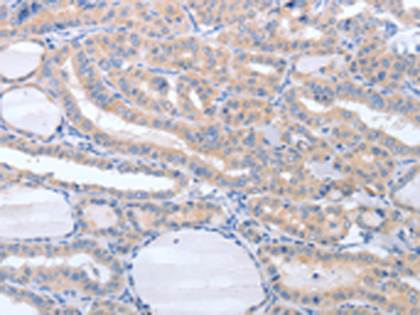
IHC positive control: |
Human thyroid cancer and Human cervical cancer |
|
IHC Recommend dilution: |
15-50 |
|
WB Predicted band size: |
24 kDa |
|
WB Positive control: |
Huvec cells |
|
WB Recommended dilution: |
200-1000 |

購(gòu)物車
幫助
021-54845833/15800441009
