|
Background: |
Transcription factor that binds to the interleukin-6 (IL-6)-responsive elements identified in the promoters of various acute-phase protein genes. Activated by IL31 through IL31RA. |
|
Applications: |
WB, IHC, IF |
|
Name of antibody: |
STAT3 (Phospho-Ser727) |
|
Immunogen: |
Synthetic peptide of human STAT3 (Phospho-Ser727) |
|
Full name: |
signal transducer and activator of transcription 3 (acute-phase response factor) (Phospho-Ser727) |
|
Synonyms: |
APRF; HIES |
|
SwissProt: |
P40763 |
|
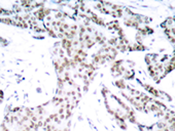
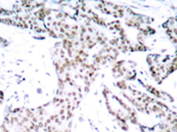
IHC positive control: |
Human breast carcinoma |
|
IHC Recommend dilution: |
50-100 |
|
WB Predicted band size: |
88 kDa |
|
WB Positive control: |
Hela and HepG2 cells treated with PMA |
|
WB Recommended dilution: |
500-1000 |
|
IF Positive control: |
Hela cells |
|
IF Recommended dilution |
100-200 |


購(gòu)物車
幫助
021-54845833/15800441009
