中文名稱: 兔抗CNTNAP3多克隆抗體
|
Background: |
The protein encoded by this gene belongs to the NCP family of cell-recognition molecules. This family represents a distinct subgroup of the neurexins. NCP proteins mediate neuron-glial interactions in vertebrates and glial-glial contact in invertebrates. The protein encoded by this gene may play a role in cell recognition within the nervous system. Alternatively spliced transcript variants encoding different isoforms have been described but their biological nature has not been determined. |
|
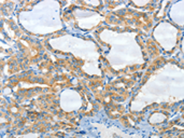
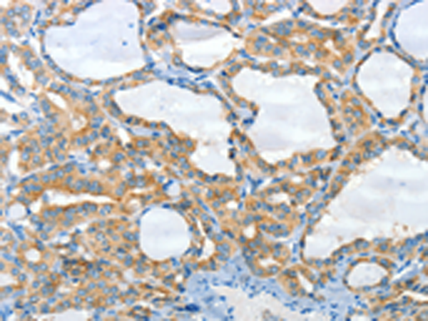
Applications: |
ELISA, IHC |
|
Name of antibody: |
CNTNAP3 |
|
Immunogen: |
Synthetic peptide of human CNTNAP3 |
|
Full name: |
contactin associated protein-like 3 |
|
Synonyms: |
CASPR3; CNTNAP3A; RP11-290L7.1; RP11-138L21.1 |
|
SwissProt: |
Q9BZ76 |
|
ELISA Recommended dilution: |
2000-5000 |
|
IHC positive control: |
Human thyroid cancer and Human lung cancer |
|
IHC Recommend dilution: |
25-100 |
購物車
幫助
021-54845833/15800441009
