|
Background: |
Major protein in sweat, has surfactant properties By similarity. |
|
Applications: |
IHC, IF |
|
Name of antibody: |
COA6 |
|
Immunogen: |
Synthesized peptide derived from internal of human LATH. |
|
Full name: |
Cytochrome c oxidase assembly factor 6 homolog |
|
Synonyms: |
C4H1orf31 |
|
SwissProt: |
Q5JTJ3 |
|
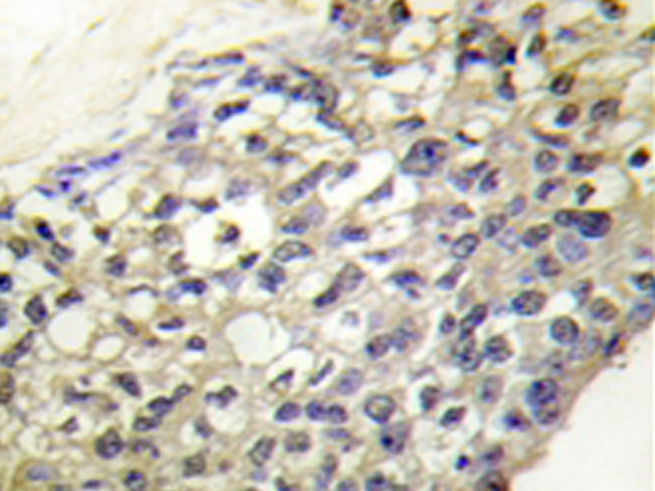
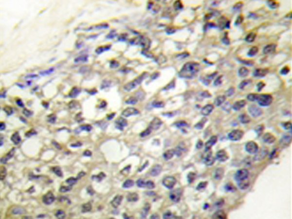
IHC positive control: |
Human breast carcinoma tissue |
|
IHC Recommend dilution: |
50-100 |
|
IF positive control: |
Hela cells |
|
IF Recommend dilution: |
100-500 |

購物車
幫助
021-54845833/15800441009
