反應種屬: Human
|
Background: |
ITGAL encodes the integrin alpha L chain. Integrins are heterodimeric integral membrane proteins composed of an alpha chain and a beta chain. This I-domain containing alpha integrin combines with the beta 2 chain (ITGB2) to form the integrin lymphocyte function-associated antigen-1 (LFA-1), which is expressed on all leukocytes. LFA-1 plays a central role in leukocyte intercellular adhesion through interactions with its ligands, ICAMs 1-3 (intercellular adhesion molecules 1 through 3), and also functions in lymphocyte costimulatory signaling. Two transcript variants encoding different isoforms have been found for this gene. |
|
Applications: |
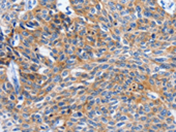
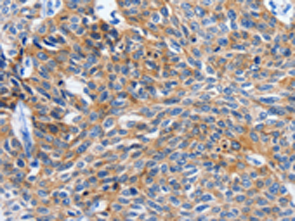
ELISA, IHC |
|
Name of antibody: |
ITGAL |
|
Immunogen: |
Synthetic peptide of human ITGAL |
|
Full name: |
integrin, alpha L (antigen CD11A (p180), lymphocyte function-associated antigen 1; alpha polypeptide) |
|
Synonyms: |
CD11A, LFA-1, LFA1A |
|
SwissProt: |
P20701 |
|
ELISA Recommended dilution: |
1000-2000 |
|
IHC positive control: |
Human esophagus cancer and Human liver cancer |
|
IHC Recommend dilution: |
15-50 |

購物車
幫助
021-54845833/15800441009
