中文名稱:兔抗GRIN1多克隆抗體
|
Background: |
The protein encoded by this gene is a critical subunit of N-methyl-D-aspartate receptors, members of the glutamate receptor channel superfamily which are heteromeric protein complexes with multiple subunits arranged to form a ligand-gated ion channel. These subunits play a key role in the plasticity of synapses, which is believed to underlie memory and learning. Cell-specific factors are thought to control expression of different isoforms, possibly contributing to the functional diversity of the subunits. Alternatively spliced transcript variants have been described. |
|
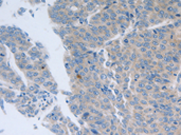
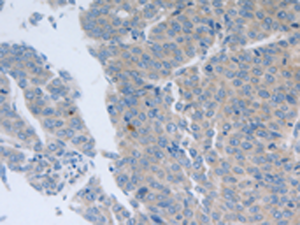
Applications: |
ELISA, IHC |
|
Name of antibody: |
GRIN1 |
|
Immunogen: |
Synthetic peptide of human GRIN1 |
|
Full name: |
glutamate receptor, ionotropic, N-methyl D-aspartate 1 |
|
Synonyms: |
NR1, MRD8, GluN1, NMDA1, NMDAR1 |
|
SwissProt: |
Q05586 |
|
ELISA Recommended dilution: |
2000-5000 |
|
IHC positive control: |
Human liver cancer and Human ovarian cancer |
|
IHC Recommend dilution: |
25-100 |
購物車
幫助
021-54845833/15800441009
