|
Background: |
The protein encoded by this gene is a subunit of a pentameric inhibitory glycine receptor. The receptor mediates postsynaptic inhibition in the central nervous system. Defects in this gene are a cause of startle disease (STHE), also known as hereditary hyperekplexia or congenital stiff-person syndrome. Three transcript variants encoding different isoforms have been found for this gene. |
|
Applications: |
ELISA, WB, IHC |
|
Name of antibody: |
GLRA1 |
|
Immunogen: |
Synthetic peptide of human GLRA1 |
|
Full name: |
glycine receptor, alpha 1 |
|
Synonyms: |
STHE; HKPX1 |
|
SwissProt: |
P23415 |
|
ELISA Recommended dilution: |
2000-5000 |
|
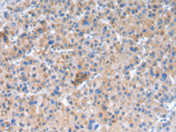
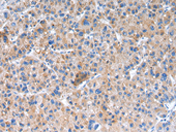
IHC positive control: |
Human liver cancer |
|
IHC Recommend dilution: |
10-50 |
|
WB Predicted band size: |
53 kDa |
|
WB Positive control: |
Human placenta tissue |
|
WB Recommended dilution: |
500-2000 |


購物車
幫助
021-54845833/15800441009
