|
Background: |
This gene belongs to the forkhead family of transcription factors which are characterized by a distinct forkhead domain. The specific function of this gene has not yet been determined; however, it may play a role in myogenic growth and differentiation. Translocation of this gene with PAX3 has been associated with alveolar rhabdomyosarcoma. |
|
Applications: |
WB, IHC, IF |
|
Name of antibody: |
FOXO1(Ab-256) |
|
Immunogen: |
Synthetic peptide of human FOXO1 |
|
Full name: |
forkhead box O1 |
|
Synonyms: |
FKH1; FKHR; FOXO1A |
|
SwissProt: |
Q12778 |
|
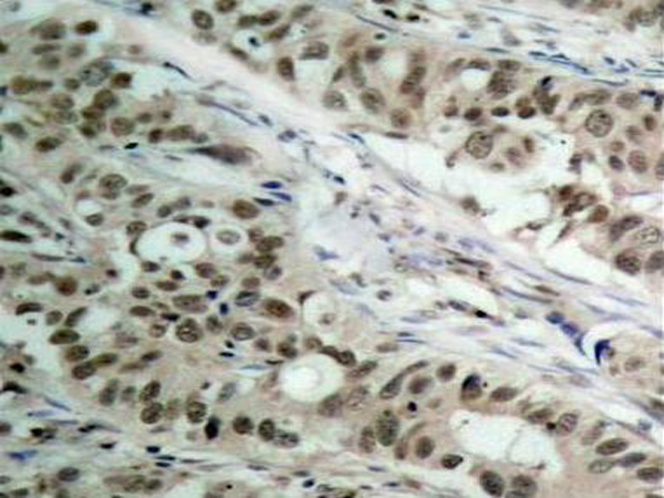
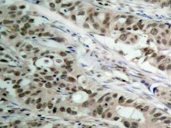
IHC positive control: |
Human breast carcinoma |
|
IHC Recommend dilution: |
50-100 |
|
WB Predicted band size: |
70 kDa |
|
WB Positive control: |
Hela cells |
|
WB Recommended dilution: |
500-1000 |
|
IF positive control: |
Hela cells |
|
IF Recommend dilution: |
100-200 |



購物車
幫助
021-54845833/15800441009
