|
Background: |
This gene encodes a transmembrane low-density lipoprotein receptor that binds and internalizes ligands in the process of receptor-mediated endocytosis. This protein also acts as a co-receptor with Frizzled protein family members for transducing signals by Wnt proteins and was originally cloned on the basis of its association with type 1 diabetes mellitus in humans. This protein plays a key role in skeletal homeostasis and many bone density related diseases are caused by mutations in this gene. Mutations in this gene also cause familial exudative vitreoretinopathy. |
|
Applications: |
ELISA, IHC |
|
Name of antibody: |
LRP5 |
|
Immunogen: |
Synthetic peptide of human LRP5 |
|
Full name: |
low density lipoprotein receptor-related protein 5 |
|
Synonyms: |
HBM, LR3, OPS, EVR1, EVR4, LRP7, OPPG, BMND1, OPTA1, VBCH2 |
|
SwissProt: |
O75197 |
|
ELISA Recommended dilution: |
2000-10000 |
|
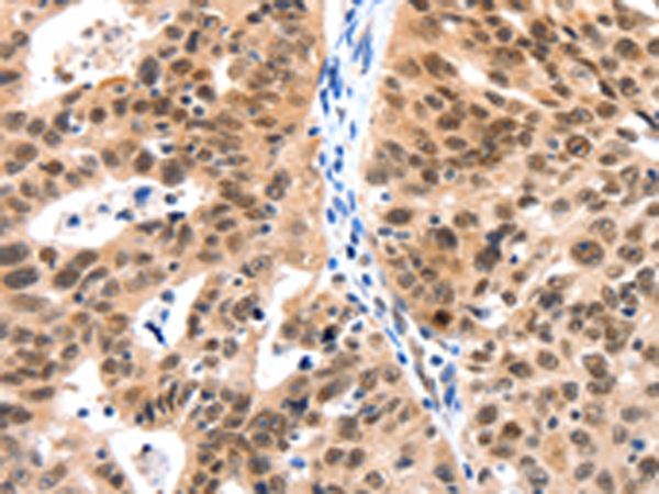
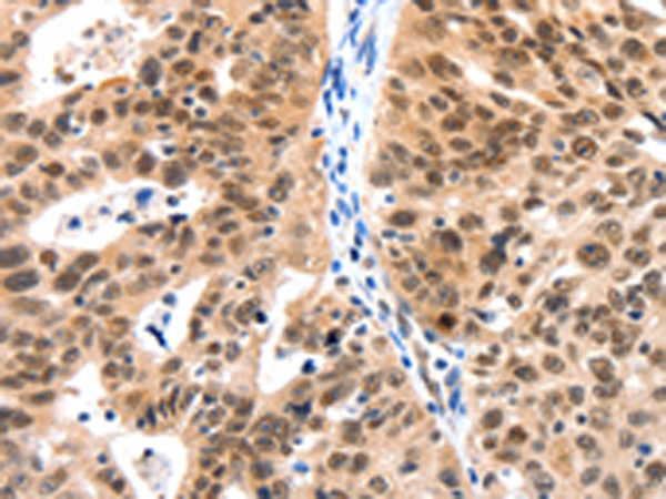
IHC positive control: |
Human ovarian cancer |
|
IHC Recommend dilution: |
100-300 |

購物車
幫助
021-54845833/15800441009
