中文名稱: 兔抗TRMT12多克隆抗體
|
Background: |
Wybutosine (yW) is a hypermodified guanosine at the 3-prime position adjacent to the anticodon of phenylalanine tRNA that stabilizes codon-anticodon interactions during decoding on the ribosome. TRMT12 is the human homolog of a yeast gene essential for yW synthesis (Noma and Suzuki, 2006). |
|
Applications: |
ELISA, WB, IHC |
|
Name of antibody: |
TRMT12 |
|
Immunogen: |
Fusion protein of human TRMT12 |
|
Full name: |
tRNA methyltransferase 12 homolog |
|
Synonyms: |
TYW2; TRM12 |
|
SwissProt: |
Q53H54 |
|
ELISA Recommended dilution: |
5000-10000 |
|
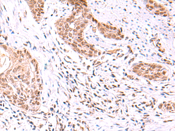
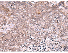
IHC positive control: |
Human lung cancer |
|
IHC Recommend dilution: |
50-300 |
|
WB Predicted band size: |
50 kDa |
|
WB Positive control: |
Human cerebella tissue, MCF-7 cell lysates |
|
WB Recommended dilution: |
500-2000 |


購物車
幫助
021-54845833/15800441009
