|
Background: |
This gene encodes a member of the F-box protein family which is characterized by an approximately 40 amino acid motif, the F-box. The F-box proteins constitute one of the four subunits of ubiquitin protein ligase complex called SCFs (SKP1-cullin-F-box), which function in phosphorylation-dependent ubiquitination. The F-box proteins are divided into 3 classes: Fbws containing WD-40 domains, Fbls containing leucine-rich repeats, and Fbxs containing either different protein-protein interaction modules or no recognizable motifs. The protein encoded by this gene was previously referred to as FBX30, and belongs to the Fbws class; in addition to an F-box, this protein contains 7 tandem WD40 repeats. |
|
Applications: |
ELISA, IHC |
|
Name of antibody: |
FBXW7 |
|
Immunogen: |
Fusion protein of human FBXW7 |
|
Full name: |
F-box and WD repeat domain containing 7, E3 ubiquitin protein ligase |
|
Synonyms: |
AGO; CDC4; FBW6; FBW7; hAgo; FBX30; FBXW6; SEL10; hCdc4; FBXO30; SEL-10 |
|
SwissProt: |
Q969H0 |
|
ELISA Recommended dilution: |
2000-10000 |
|
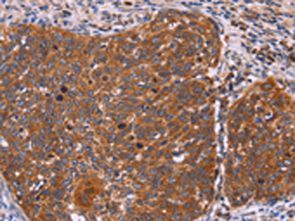
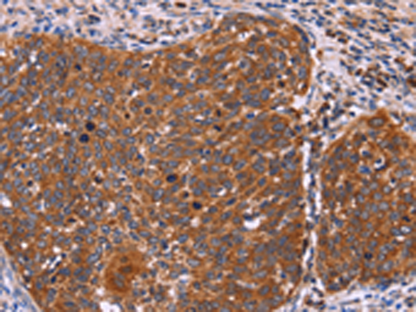
IHC positive control: |
Human cervical cancer and human thyroid cancer |
|
IHC Recommend dilution: |
100-300 |

購(gòu)物車
幫助
021-54845833/15800441009
