中文名稱:小鼠抗CKMT2單克隆抗體
|
Background: |
Mitochondrial creatine kinase (MtCK) is responsible for the transfer of high energy phosphate from mitochondria to the cytosolic carrier, creatine. It belongs to the creatine kinase isoenzyme family. It exists as two isoenzymes, sarcomeric MtCK and ubiquitous MtCK, encoded by separate genes. Mitochondrial creatine kinase occurs in two different oligomeric forms: dimers and octamers, in contrast to the exclusively dimeric cytosolic creatine kinase isoenzymes. Sarcomeric mitochondrial creatine kinase has 80% homology with the coding exons of ubiquitous mitochondrial creatine kinase. This gene contains sequences homologous to several motifs that are shared among some nuclear genes encoding mitochondrial proteins and thus may be essential for the coordinated activation of these genes during mitochondrial biogenesis. Three transcript variants encoding the same protein have been found for this gene. |
|
Applications: |
WB |
|
Name of antibody: |
CKMT2 |
|
Immunogen: |
Fusion protein of human CKMT2 |
|
Full name: |
creatine kinase, mitochondrial 2 |
|
Synonyms: |
SMTCK |
|
SwissProt: |
P17540 |
|
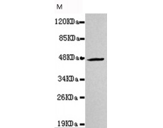
WB Predicted band size: |
48 kDa |
|
WB Positive control: |
Rat brain tissue lysate |
|
WB Recommended dilution: |
1000-5000 |
購物車
幫助
021-54845833/15800441009
