|
Background: |
This gene encodes a multifunctional actin-bundling protein. It plays a major role in regulating the organization, dimensions, dynamics, and signaling capacities of the actin filament-rich, microvillus-type specializations that mediate sensory transduction in various mechanosensory and chemosensory cells. Mutations in this gene are associated with autosomal recessive neurosensory deafness, and autosomal dominant sensorineural deafness without vestibular involvement. |
|
Applications: |
ELISA, IHC |
|
Name of antibody: |
ESPN |
|
Immunogen: |
Synthetic peptide of human ESPN |
|
Full name: |
espin |
|
Synonyms: |
DFNB36; LP2654 |
|
SwissProt: |
B1AK53 |
|
ELISA Recommended dilution: |
5000-10000 |
|
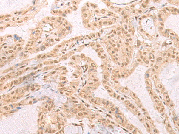
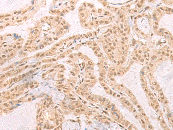
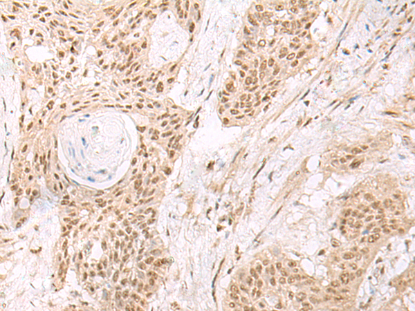
IHC positive control: |
Human esophagus cancer and Human thyroid cancer |
|
IHC Recommend dilution: |
30-150 |

購物車
幫助
021-54845833/15800441009
