|
Background: |
Involved in the regulation of the microtubule (MT) filament system by destabilizing microtubules. Prevents assembly and promotes disassembly of microtubules. Phosphorylation at Ser-16 may be required for axon formation during neurogenesis. Involved in the control of the learned and innate fear |
|
Applications: |
WB, IHC |
|
Name of antibody: |
STMN1 (Phospho-Ser38) |
|
Immunogen: |
Synthetic peptide of human STMN1 (Phospho-Ser38) |
|
Full name: |
stathmin 1 (Phospho-Ser38) |
|
Synonyms: |
Lag; SMN; OP18; PP17; PP19; PR22; LAP18; C1orf215 |
|
SwissProt: |
P16949 |
|
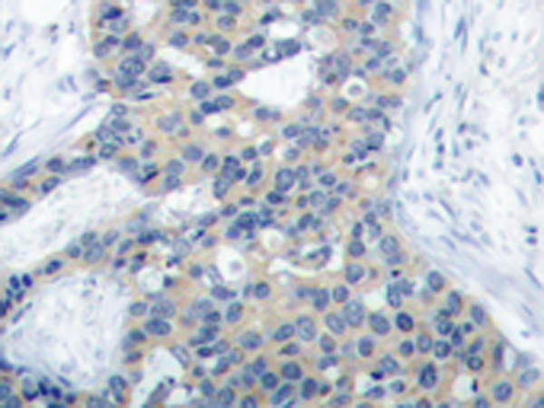
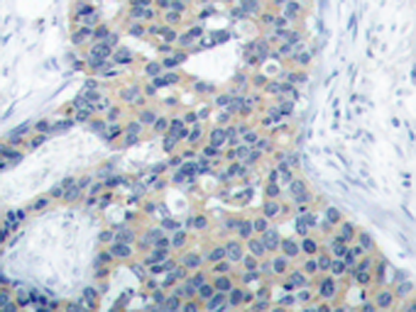
IHC positive control: |
Human breast carcinoma |
|
IHC Recommend dilution: |
50-100 |
|
WB Predicted band size: |
17 kDa |
|
WB Positive control: |
K562 cells treated with serum starvation |
|
WB Recommended dilution: |
500-1000 |

購物車
幫助
021-54845833/15800441009
