|
Background: |
This gene encodes a secreted protein which is mainly expressed in the endothelial cells in human lung and kidney tissues. The expression of this gene is regulated by cytokines, suggesting that it may play a role in endothelium-dependent pathological disorders. The transcript contains multiple polyadenylation and mRNA instability signals. Two transcript variants encoding different isoforms have been found for this gene. |
|
Applications: |
ELISA, IHC |
|
Name of antibody: |
ESM1 |
|
Immunogen: |
Fusion protein of human ESM1 |
|
Full name: |
endothelial cell specific molecule 1 |
|
Synonyms: |
endocan |
|
SwissProt: |
Q9NQ30 |
|
ELISA Recommended dilution: |
5000-10000 |
|
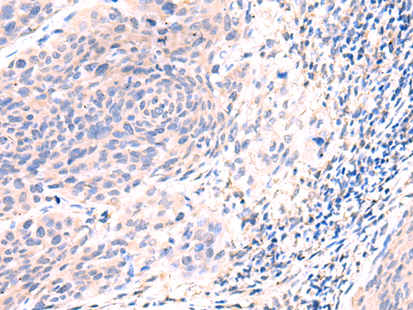
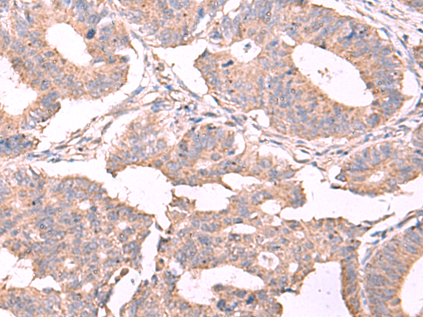
IHC positive control: |
Human cervical cancer and Human colorectal cancer |
|
IHC Recommend dilution: |
50-300 |

購物車
幫助
021-54845833/15800441009
