|
Background: |
This gene is one of eight which have been associated with neuronal ceroid lipofuscinoses (NCL). Also referred to as Batten disease, NCL comprises a class of autosomal recessive, neurodegenerative disorders affecting children. The genes responsible likely encode proteins involved in the degradation of post-translationally modified proteins in lysosomes. The primary defect in NCL disorders is thought to be associated with lysosomal storage function. |
|
Applications: |
WB, IHC |
|
Name of antibody: |
CLN6 |
|
Immunogen: |
Synthesized peptide derived from internal of human CLN6. |
|
Full name: |
ceroid-lipofuscinosis, neuronal 6, late infantile, variant |
|
Synonyms: |
nclf; CLN4A; HsT18960 |
|
SwissProt: |
Q9NWW5 |
|
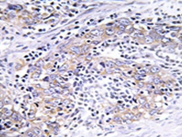
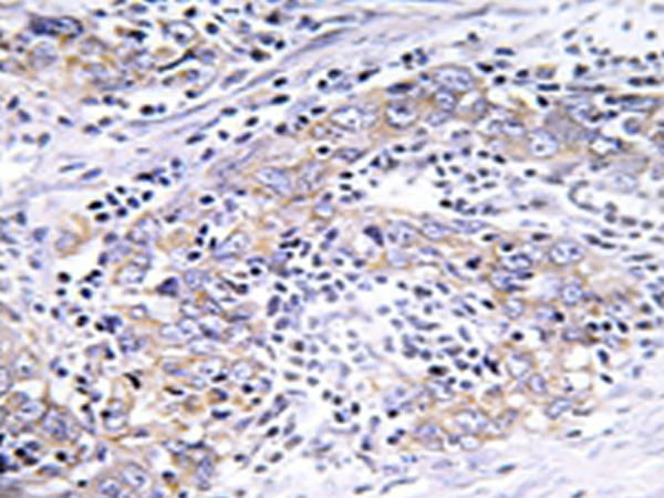
IHC positive control: |
Human cervix tissue |
|
IHC Recommend dilution: |
50-100 |
|
WB Predicted band size: |
36 kDa |
|
WB Positive control: |
Hela cells lysate |
|
WB Recommended dilution: |
500-3000 |

購(gòu)物車(chē)
幫助
021-54845833/15800441009
