|
Background: |
This gene encodes a zinc metalloaminopeptidase of the M1 protease family that resides in the endoplasmic reticulum and functions in N-terminal trimming antigenic epitopes for presentation by major histocompatibility complex (MHC) class I molecules. Certain mutations in this gene are associated with the inflammatory arthritis syndrome ankylosing spondylitis and pre-eclampsia. This gene is located adjacent to a closely related aminopeptidase gene on chromosome 5. |
|
Applications: |
ELISA, IHC |
|
Name of antibody: |
ERAP2 |
|
Immunogen: |
Synthetic peptide of human ERAP2 |
|
Full name: |
endoplasmic reticulum aminopeptidase 2 |
|
Synonyms: |
LRAP; L-RAP |
|
SwissProt: |
Q6P179 |
|
ELISA Recommended dilution: |
5000-10000 |
|
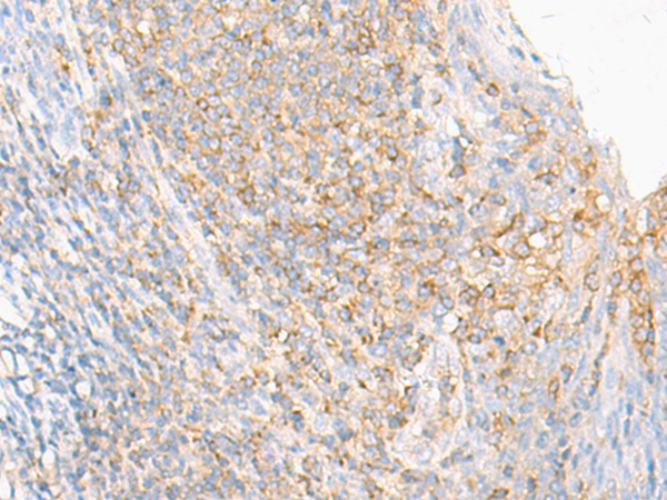
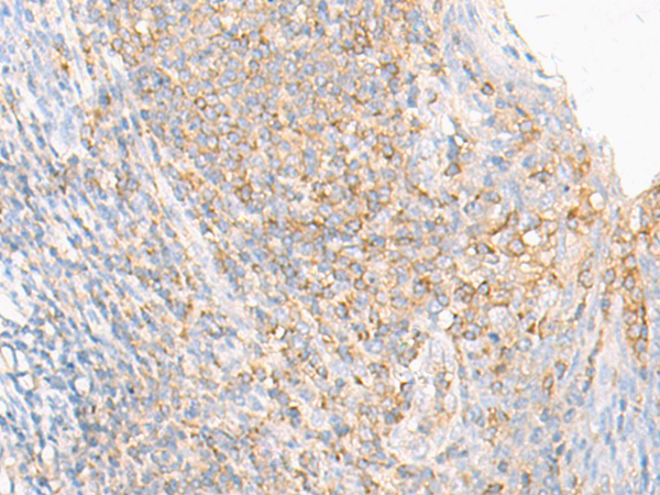
IHC positive control: |
Human tonsil |
|
IHC Recommend dilution: |
10-50 |
購物車
幫助
021-54845833/15800441009
