中文名稱: 兔抗DEGS1多克隆抗體
|
Background: |
This gene encodes a member of the membrane fatty acid desaturase family which is responsible for inserting double bonds into specific positions in fatty acids. This protein contains three His-containing consensus motifs that are characteristic of a group of membrane fatty acid desaturases. It is predicted to be a multiple membrane-spanning protein localized to the endoplasmic reticulum. Overexpression of this gene inhibited biosynthesis of the EGF receptor, suggesting a possible role of a fatty acid desaturase in regulating biosynthetic processing of the EGF receptor. |
|
Applications: |
ELISA, IHC |
|
Name of antibody: |
DEGS1 |
|
Immunogen: |
Synthetic peptide of human DEGS1 |
|
Full name: |
delta 4-desaturase, sphingolipid 1 |
|
Synonyms: |
MLD; DEGS; DES1; Des-1; FADS7; MIG15; DEGS-1 |
|
SwissProt: |
O15121 |
|
ELISA Recommended dilution: |
5000-10000 |
|
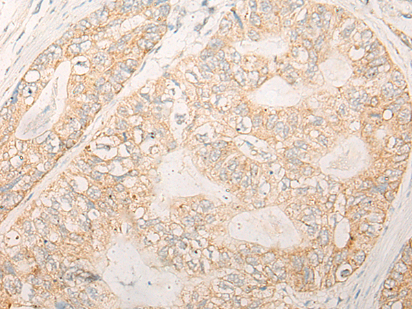
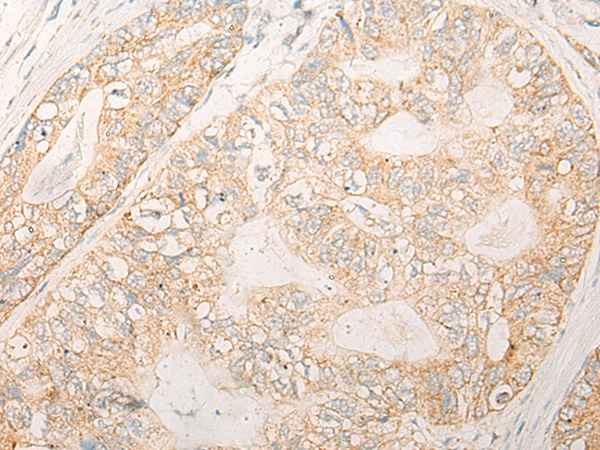
IHC positive control: |
Human liver cancer and Human esophagus cancer |
|
IHC Recommend dilution: |
25-100 |

購(gòu)物車
幫助
021-54845833/15800441009
