|
Background: |
This gene encodes a member of the ephrin (EPH) family. The ephrins and EPH-related receptors comprise the largest subfamily of receptor protein-tyrosine kinases and have been implicated in mediating developmental events, especially in the nervous system and in erythropoiesis. Based on their structures and sequence relationships, ephrins are divided into the ephrin-A (EFNA) class, which are anchored to the membrane by a glycosylphosphatidylinositol linkage, and the ephrin-B (EFNB) class, which are transmembrane proteins. This gene encodes an EFNA class ephrin which binds to the EPHA2, EPHA4, EPHA5, EPHA6, and EPHA7 receptors. Two transcript variants that encode different isoforms were identified through sequence analysis. |
|
Applications: |
ELISA, IHC |
|
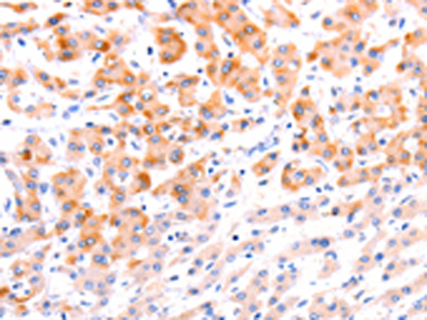
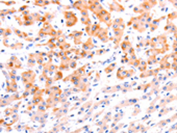
Name of antibody: |
EFNA1 |
|
Immunogen: |
Fusion protein of human EFNA1 |
|
Full name: |
ephrin-A1 |
|
Synonyms: |
B61, EFL1, ECKLG, EPLG1, LERK1, LERK-1, TNFAIP4 |
|
SwissProt: |
P20827 |
|
ELISA Recommended dilution: |
1000-5000 |
|
IHC positive control: |
Human liver cancer and human thyroid cancer |
|
IHC Recommend dilution: |
50-150 |
購物車
幫助
021-54845833/15800441009
