|
Background: |
This gene encodes the protein elongin B, which is a subunit of the transcription factor B (SIII) complex. The SIII complex is composed of elongins A/A2, B and C. It activates elongation by RNA polymerase II by suppressing transient pausing of the polymerase at many sites within transcription units. Elongin A functions as the transcriptionally active component of the SIII complex, whereas elongins B and C are regulatory subunits. Elongin A2 is specifically expressed in the testis, and capable of forming a stable complex with elongins B and C. The von Hippel-Lindau tumor suppressor protein binds to elongins B and C, and thereby inhibits transcription elongation. Two alternatively spliced transcript variants encoding different isoforms have been described for this gene. Pseudogenes have been identified on chromosomes 11 and 13. [provided by RefSeq, Aug 2008] |
|
Applications: |
ELISA, IHC |
|
Name of antibody: |
ELOB |
|
Immunogen: |
Fusion protein of human ELOB |
|
Full name: |
elongin B |
|
Synonyms: |
SIII; TCEB2 |
|
SwissProt: |
Q15370 |
|
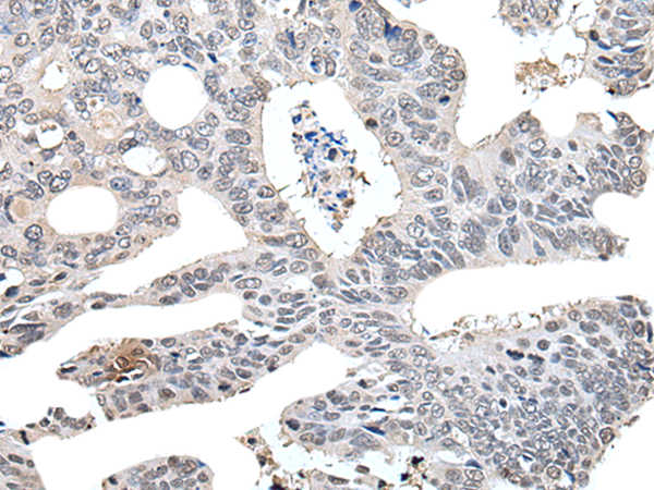
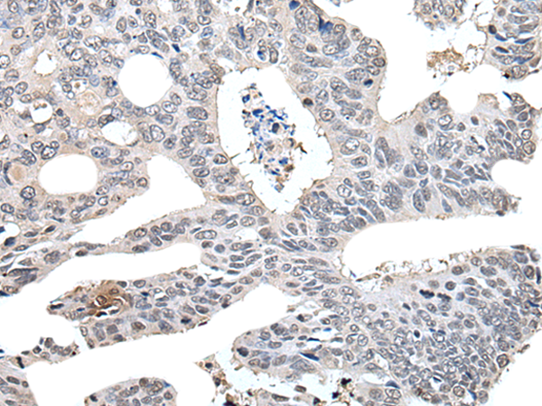
IHC positive control: |
Human colorectal cancer |
|
IHC Recommend dilution: |
30-150 |
購物車
幫助
021-54845833/15800441009
