中文名稱:兔抗BHMT2多克隆抗體
|
Background: |
Homocysteine is a sulfur-containing amino acid that plays a crucial role in methylation reactions. Transfer of the methyl group from betaine to homocysteine creates methionine, which donates the methyl group to methylate DNA, proteins, lipids, and other intracellular metabolites. The protein encoded by this gene is one of two methyl transferases that can catalyze the transfer of the methyl group from betaine to homocysteine. Anomalies in homocysteine metabolism have been implicated in disorders ranging from vascular disease to neural tube birth defects such as spina bifida. Alternatively spliced transcript variants encoding different isoforms have been found for this gene. |
|
Applications: |
ELISA, WB, IHC |
|
Name of antibody: |
BHMT2 |
|
Immunogen: |
Fusion protein of human BHMT2 |
|
Full name: |
betaine--homocysteine S-methyltransferase 2 |
|
SwissProt: |
Q9H2M3 |
|
ELISA Recommended dilution: |
5000-10000 |
|
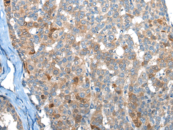
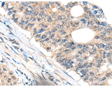
IHC positive control: |
Human liver cancer;Human colorectal cancer |
|
IHC Recommend dilution: |
30-150 |
|
WB Predicted band size: |
40 kDa |
|
WB Positive control: |
Human kidney tissue lysate |
|
WB Recommended dilution: |
500-2000 |



購物車
幫助
021-54845833/15800441009
