|
Background: |
This gene encodes a multifunctional protein that localizes to both the cytoplasm and nucleus. In the cytoplasm, the encoded protein is an auxiliary component of the macromolecular aminoacyl-tRNA synthase complex. However, its mouse homolog has been shown to translocate to the nucleus in response to DNA damage, and it plays a positive role in ATM/ATR-mediated p53 activation. Alternative splicing results in multiple transcript variants. |
|
Applications: |
ELISA, WB, IHC |
|
Name of antibody: |
EEF1E1 |
|
Immunogen: |
Full length fusion protein |
|
Full name: |
eukaryotic translation elongation factor 1 epsilon 1 |
|
Synonyms: |
P18; AIMP3 |
|
SwissProt: |
O43324 |
|
ELISA Recommended dilution: |
5000-10000 |
|
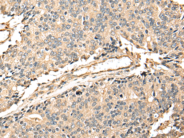
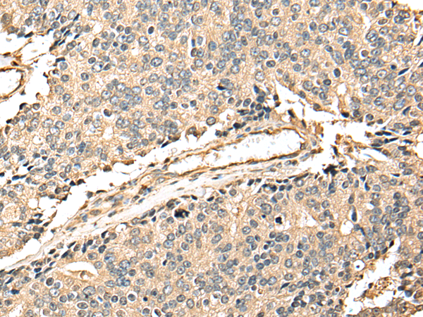
IHC positive control: |
Human prostate cancer and Human esophagus cancer |
|
IHC Recommend dilution: |
25-100 |
|
WB Predicted band size: |
20 kDa |
|
WB Positive control: |
A431 cell,Hepg2 cell,293T cell,Human testis tissue,Jurkat and A549 cell |
|
WB Recommended dilution: |
500-2000 |

購物車
幫助
021-54845833/15800441009
