|
Background: |
DOK proteins are enzymatically inert adaptor or scaffolding proteins. They provide a docking platform for the assembly of multimolecular signaling complexes. DOK1 appears to be a negative regulator of the insulin signaling pathway. Modulates integrin activation by competing with talin for the same binding site on ITGB3. |
|
Applications: |
WB, IHC |
|
Name of antibody: |
DOK1 (phospho-Tyr362) |
|
Immunogen: |
Synthetic peptide of human DOK1 (phospho-Tyr362) |
|
Full name: |
docking protein 1, 62kDa (downstream of tyrosine kinase 1) (phospho-Tyr362) |
|
Synonyms: |
P62DOK |
|
SwissProt: |
Q99704 |
|
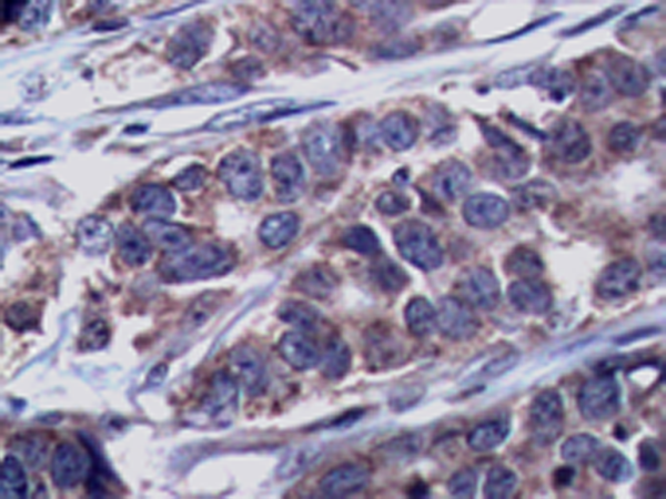
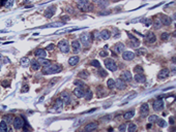
IHC positive control: |
Human breast carcinoma |
|
IHC Recommend dilution: |
50-100 |
|
WB Predicted band size: |
62 kDa |
|
WB Positive control: |
Jurkat cells treated with insulin |
|
WB Recommended dilution: |
500-1000 |

購物車
幫助
021-54845833/15800441009
