中文名稱: 兔抗ADAMTS3多克隆抗體
|
Background: |
This gene encodes a member of the ADAMTS (a disintegrin and metalloproteinase with thrombospondin motifs) protein family. Members of the family share several distinct protein modules, including a propeptide region, a metalloproteinase domain, a disintegrin-like domain, and a thrombospondin type 1 (TS) motif. Individual members of this family differ in the number of C-terminal TS motifs, and some have unique C-terminal domains. The protein encoded by this gene is the major procollagen II N-propeptidase. A deficiency of this protein may be responsible for dermatosparaxis, a genetic defect of connective tissues. |
|
Applications: |
ELISA, IHC |
|
Name of antibody: |
ADAMTS3 |
|
Immunogen: |
Synthetic peptide of human ADAMTS3 |
|
Full name: |
ADAM metallopeptidase with thrombospondin type 1 motif, 3 |
|
Synonyms: |
ADAMTS-4 |
|
SwissProt: |
O15072 |
|
ELISA Recommended dilution: |
5000-10000 |
|
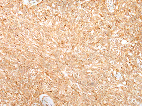
IHC positive control: |
Human lung cancer and Human prostate cancer |
|
IHC Recommend dilution: |
25-100 |
購物車
幫助
021-54845833/15800441009
