|
Background: |
Calcium-dependent membrane-binding proteins may regulate molecular events at the interface of the cell membrane and cytoplasm. This gene encodes a protein which contains two type II C2 domains in the amino-terminus and an A domain-like sequence in the carboxy-terminus. The A domain mediates interactions between integrins and extracellular ligands. |
|
Applications: |
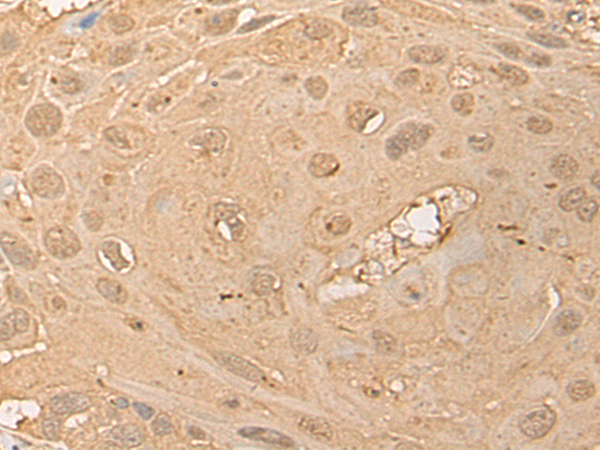
ELISA, IHC |
|
Name of antibody: |
CPNE3 |
|
Immunogen: |
Fusion protein of human CPNE3 |
|
Full name: |
copine 3 |
|
Synonyms: |
CPN3; PRO1071 |
|
SwissProt: |
O75131 |
|
ELISA Recommended dilution: |
5000-10000 |
|
IHC positive control: |
Human liver cancer and Human esophagus cancer |
|
IHC Recommend dilution: |
30-150 |

購物車
幫助
021-54845833/15800441009
