中文名稱: 兔抗CPEB4多克隆抗體
|
Background: |
Cytoplasmic polyadenylation element binding protein 4 (CPEB4) is a sequence-specific RNA-binding protein that participates in translational control. CPEB4 is a member of the CPEB family, which includes CPEB1, CPEB2, CPEB3, and CPEB4, all of which share structure and sequence identity in the C-terminal RNA-binding domain (RBD). CPEB4 has two domains: one that is structured for RNA binding and one that is unstructured and low complexity that has no known function. |
|
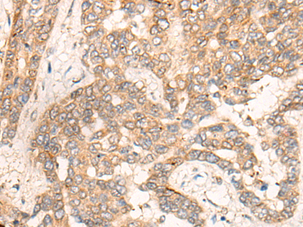
Applications: |
ELISA, IHC |
|
Name of antibody: |
CPEB4 |
|
Immunogen: |
Fusion protein of human CPEB4 |
|
Full name: |
cytoplasmic polyadenylation element binding protein 4 |
|
Synonyms: |
CPE-BP4; hCPEB-4 |
|
SwissProt: |
Q17RY0 |
|
ELISA Recommended dilution: |
5000-10000 |
|
IHC positive control: |
Human liver cancer and Human gastric cancer |
|
IHC Recommend dilution: |
25-100 |

購物車
幫助
021-54845833/15800441009
