|
Background: |
The product of this gene belongs to the diaphanous subfamily of the formin homology family of proteins. This gene may play a role in the development and normal function of the ovaries. Defects in this gene have been linked to premature ovarian failure 2. Alternatively spliced transcript variants encoding different isoforms have been identified. |
|
Applications: |
ELISA, IHC |
|
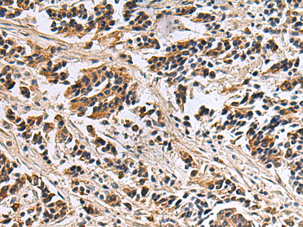
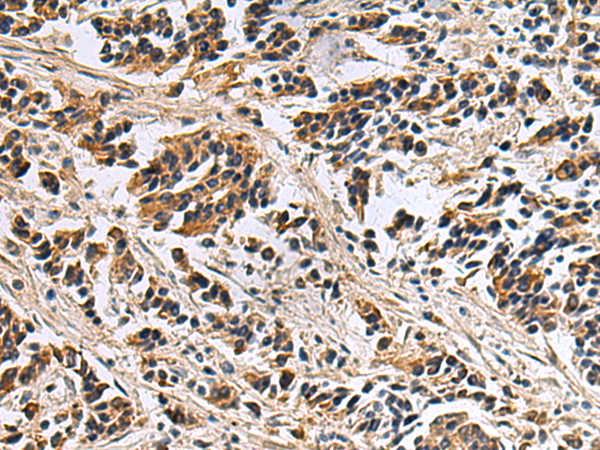
Name of antibody: |
DIAPH2 |
|
Immunogen: |
Fusion protein of human DIAPH2 |
|
Full name: |
diaphanous related formin 2 |
|
Synonyms: |
DIA; POF; DIA2; DRF2; POF2; POF2A |
|
SwissProt: |
O60879 |
|
ELISA Recommended dilution: |
5000-10000 |
|
IHC positive control: |
Human breast cancer |
|
IHC Recommend dilution: |
50-100 |
購物車
幫助
021-54845833/15800441009
