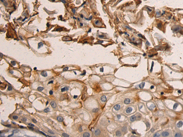
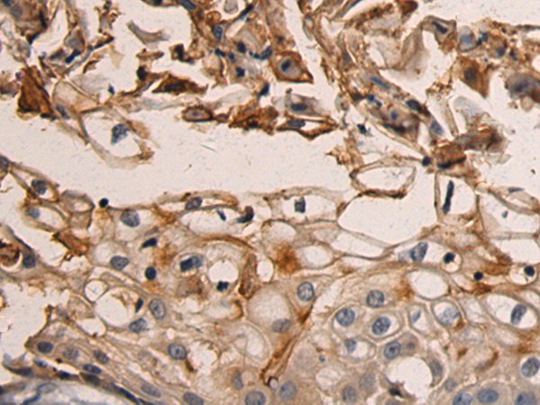
中文名稱:兔抗AGBL3多克隆抗體
|
Background: |
Metallocarboxypeptidase that mediates both deglutamylation and deaspartylation of target proteins. Catalyzes the deglutamylation of polyglutamate side chains generated by post-translational polyglutamylation in proteins such as tubulins. Also removes gene-encoded polyglutamates or polyaspartates from the carboxy-terminus of target proteins such as MYLK. Does not show detyrosinase or deglycylase activities from the carboxy-terminus of tubulin. |
|
Applications: |
ELISA, WB |
|
Name of antibody: |
AGBL3 |
|
Immunogen: |
Fusion protein of human AGBL3 |
|
Full name: |
ATP/GTP binding protein like 3 |
|
Synonyms: |
CCP3 |
|
SwissProt: |
Q8NEM8 |
|
ELISA Recommended dilution: |
5000-10000 |
|
WB Predicted band size: |
116 kDa |
|
WB Positive control: |
Human fetal liver tissue, Mouse liver tissue, TM4 cell lysates |
|
WB Recommended dilution: |
200-1000 |
購物車
幫助
021-54845833/15800441009
