|
Background: |
his gene encodes one of the three alpha chains of type VI collagen, a beaded filament collagen found in most connective tissues. The product of this gene contains several domains similar to von Willebrand Factor type A domains. These domains have been shown to bind extracellular matrix proteins, an interaction that explains the importance of this collagen in organizing matrix components. Mutations in this gene are associated with Bethlem myopathy and Ullrich scleroatonic muscular dystrophy. Three transcript variants have been identified for this gene. |
|
Applications: |
WB, IHC |
|
Name of antibody: |
COL6A2 |
|
Immunogen: |
Synthesized peptide derived from internal of human Collagen VI α2. |
|
Full name: |
collagen, type VI, alpha 2 |
|
Synonyms: |
PP3610 |
|
SwissProt: |
P12110 |
|
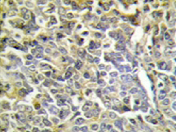
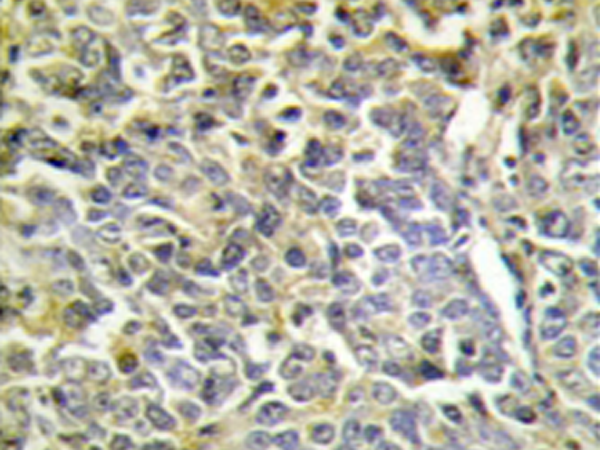
IHC positive control: |
Human lung carcinoma tissue |
|
IHC Recommend dilution: |
50-100 |
|
WB Predicted band size: |
109 kDa |
|
WB Positive control: |
K562 cells, HT-29 cells, A549 cells and COS-7 cells lysates |
|
WB Recommended dilution: |
500-3000 |
購物車
幫助
021-54845833/15800441009
