|
Background: |
Recognizes and binds the 7-methylguanosine-containing mRNA cap during an early step in the initiation of protein synthesis and facilitates ribosome binding by inducing the unwinding of the mRNAs secondary structures. |
|
Applications: |
WB, IHC, IF |
|
Name of antibody: |
EIF4E |
|
Immunogen: |
Synthetic peptide of human EIF4E (Ab-209) |
|
Full name: |
eukaryotic translation initiation factor 4E |
|
Synonyms: |
CBP; EIF4F; AUTS19; EIF4E1; EIF4EL1 |
|
SwissProt: |
P06730 |
|
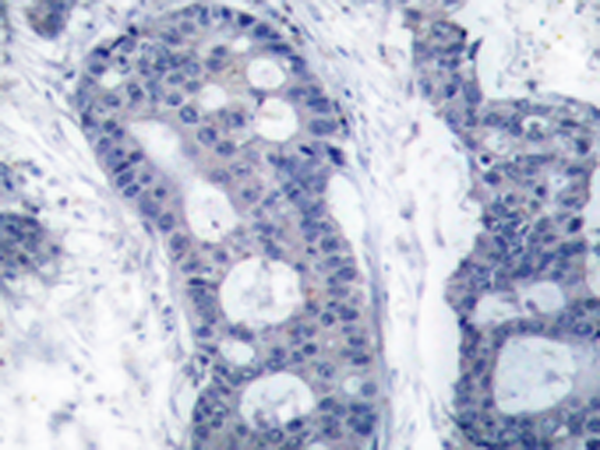
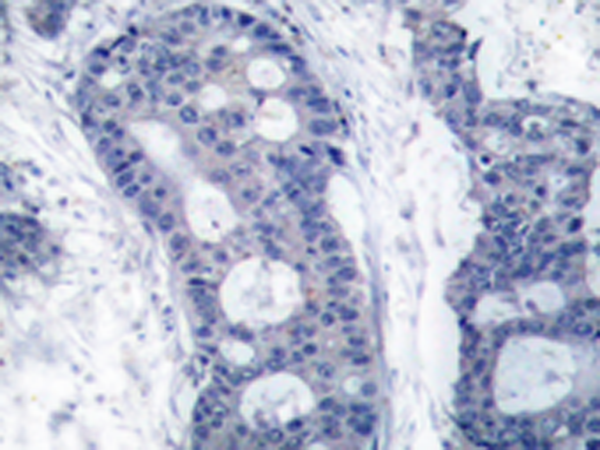
IHC positive control: |
Human breast carcinoma |
|
IHC Recommend dilution: |
50-100 |
|
WB Predicted band size: |
25 kDa |
|
WB Positive control: |
Hela, HepG2 and 293 cells |
|
WB Recommended dilution: |
500-1000 |
|
IF Positive control: |
Hela cells |
|
IF Recommended dilution |
100-200 |



購物車
幫助
021-54845833/15800441009
