中文名稱:兔抗CLTB多克隆抗體
|
Background: |
Clathrin is a large, soluble protein composed of heavy and light chains. It functions as the main structural component of the lattice-type cytoplasmic face of coated pits and vesicles which entrap specific macromolecules during receptor-mediated endocytosis. This gene encodes one of two clathrin light chain proteins which are believed to function as regulatory elements. Alternative splicing results in multiple transcript variants. |
|
Applications: |
ELISA, WB, IHC |
|
Name of antibody: |
CLTB |
|
Immunogen: |
Fusion protein of human CLTB |
|
Full name: |
clathrin light chain B |
|
Synonyms: |
LCB |
|
SwissProt: |
P09497 |
|
ELISA Recommended dilution: |
5000-10000 |
|
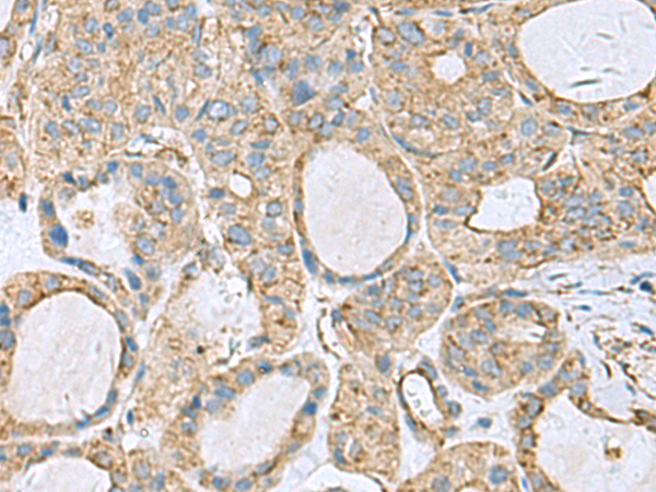
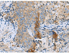
IHC positive control: |
Human cervical cancer and Human thyroid cancer |
|
IHC Recommend dilution: |
50-200 |
|
WB Predicted band size: |
25 kDa |
|
WB Positive control: |
NIH/3T3 cell lysate |
|
WB Recommended dilution: |
500-2000 |


購(gòu)物車
幫助
021-54845833/15800441009
