|
Background: |
This gene encodes an alpha subunit of neuronal nicotinic acetylcholine receptors. These receptors consist of five subunits and function as ion channels involved in neurotransmission. The encoded protein is a subunit of neuronal nicotinic acetylcholine receptors that mediate dopaminergic neurotransmission and are activated by acetylcholine and exogenous nicotine. Alternatively spliced transcript variants have been observed for this gene. Single nucleotide polymorphisms in this gene have been associated with both nicotine and alcohol dependence. |
|
Applications: |
ELISA, IHC |
|
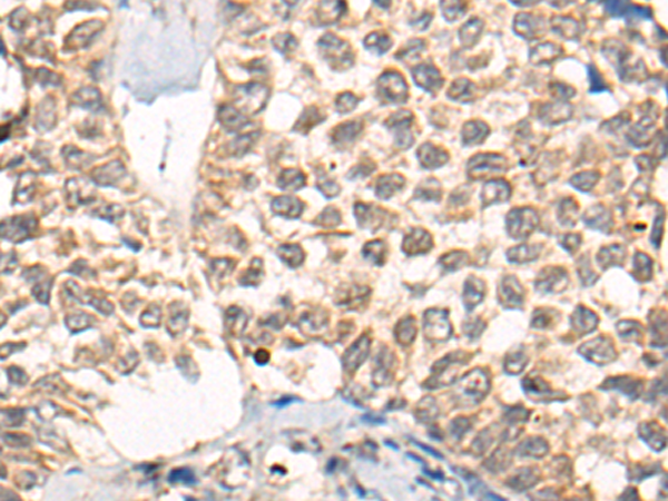
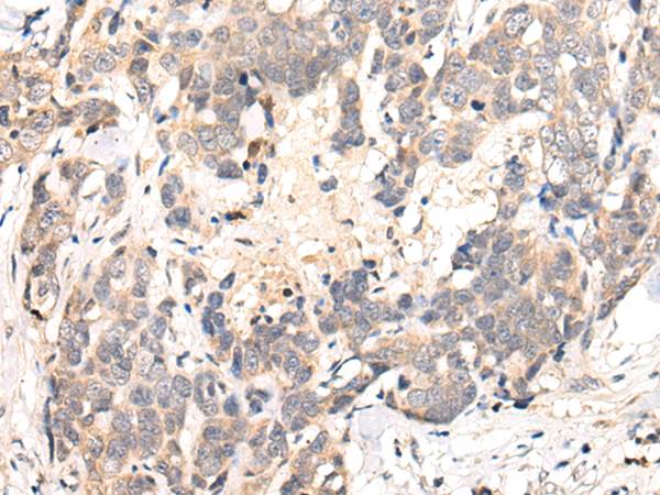
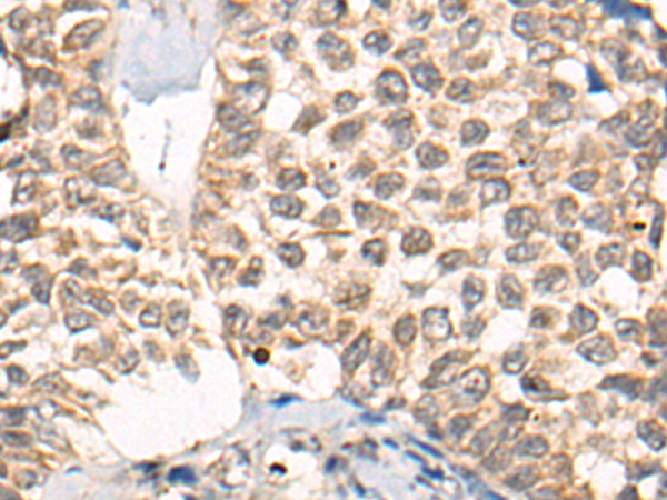
Name of antibody: |
CHRNA6 |
|
Immunogen: |
Synthetic peptide of human CHRNA6 |
|
Full name: |
cholinergic receptor nicotinic alpha 6 subunit |
|
Synonyms: |
CHNRA6 |
|
SwissProt: |
Q15825 |
|
ELISA Recommended dilution: |
5000-10000 |
|
IHC positive control: |
Human thyroid cancer and human ovarian cancer |
|
IHC Recommend dilution: |
10-50 |

購(gòu)物車
幫助
021-54845833/15800441009
