中文名稱:兔抗ARHGEF2多克隆抗體
|
Background: |
Rho GTPases play a fundamental role in numerous cellular processes that are initiated by extracellular stimuli that work through G protein coupled receptors. The encoded protein may form complex with G proteins and stimulate rho-dependent signals. Alternatively spliced transcript variants encoding different isoforms have been identified. |
|
Applications: |
ELISA, IHC |
|
Name of antibody: |
ARHGEF2 |
|
Immunogen: |
Fusion protein of human ARHGEF2 |
|
Full name: |
Rho/Rac guanine nucleotide exchange factor (GEF) 2 |
|
Synonyms: |
GEF; P40; GEFH1; LFP40; GEF-H1 |
|
SwissProt: |
Q92974 |
|
ELISA Recommended dilution: |
2000-5000 |
|
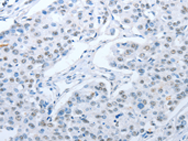
IHC positive control: |
Human breast cancer and Human lung cancer |
|
IHC Recommend dilution: |
25-100 |
購物車
幫助
021-54845833/15800441009
