|
Background: |
Signal transducer and activator of transcription that mediates signaling by interferons (IFNs). Following type I IFN (IFN-alpha and IFN-beta) binding to cell surface receptors, Jak kinases (TYK2 and JAK1) are activated, leading to tyrosine phosphorylation of STAT1 and STAT2. The phosphorylated STATs dimerize, associate with ISGF3G/IRF-9 to form a complex termed ISGF3 transcription factor, that enters the nucleus. ISGF3 binds to the IFN stimulated response element (ISRE) to activate the transcription of interferon stimulated genes, which drive the cell in an antiviral state. In response to type II IFN (IFN-gamma), STAT1 is tyrosine- and serine-phosphorylated. It then forms a homodimer termed IFN-gamma-activated factor (GAF), migrates into the nucleus and binds to the IFN gamma activated sequence (GAS) to drive the expression of the target genes, inducing a cellular antiviral state. |
|
Applications: |
WB, IHC |
|
Name of antibody: |
STAT1 (Phospho-Tyr701) |
|
Immunogen: |
Synthetic peptide of human STAT1 (Phospho-Tyr701) |
|
Full name: |
signal transducer and activator of transcription 1, 91kDa (Phospho-Tyr701) |
|
Synonyms: |
CANDF7; ISGF-3; STAT91 |
|
SwissProt: |
P42224 |
|
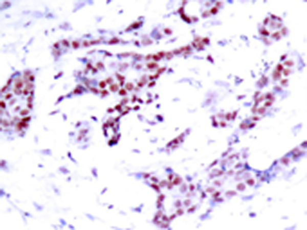
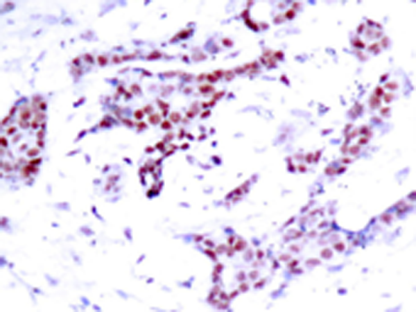
IHC positive control: |
Human breast carcinoma |
|
IHC Recommend dilution: |
50-100 |
|
WB Predicted band size: |
87 kDa |
|
WB Positive control: |
Hela cells treated with IFN |
|
WB Recommended dilution: |
500-1000 |

購物車
幫助
021-54845833/15800441009
