|
Background: |
This gene encodes a transcription factor containing an ETS DNA-binding domain. The gene can undergo a t(11;22)(q24;q12) translocation with the Ewing sarcoma gene on chromosome 22, which results in a fusion gene that is present in the majority of Ewing sarcoma cases. An acute lymphoblastic leukemia-associated t(4;11)(q21;q23) translocation involving this gene has also been identified. Alternative splicing results in multiple transcript variants. [provided by RefSeq, Aug 2012] |
|
Applications: |
ELISA, IHC |
|
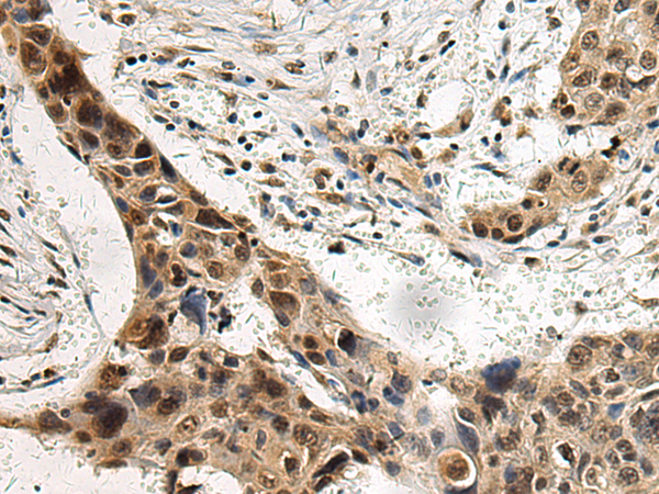
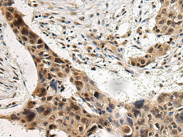
Name of antibody: |
FLI1 |
|
Immunogen: |
Fusion protein of human FLI1 |
|
Full name: |
Fli-1 proto-oncogene, ETS transcription factor |
|
Synonyms: |
EWSR2; SIC-1; BDPLT21 |
|
SwissProt: |
Q01543 |
|
ELISA Recommended dilution: |
5000-10000 |
|
IHC positive control: |
Human esophagus cancer |
|
IHC Recommend dilution: |
100-200 |

購物車
幫助
021-54845833/15800441009
