中文名稱:兔抗ADORA1多克隆抗體
|
Background: |
The protein encoded by this gene is an adenosine receptor that belongs to the G-protein coupled receptor 1 family. There are 3 types of adenosine receptors, each with a specific pattern of ligand binding and tissue distribution, and together they regulate a diverse set of physiologic functions. The type A1 receptors inhibit adenylyl cyclase, and play a role in the fertilization process. Animal studies also suggest a role for A1 receptors in kidney function and ethanol intoxication. Transcript variants with alternative splicing in the 5' UTR have been found for this gene. |
|
Applications: |
ELISA, IHC |
|
Name of antibody: |
ADORA1 |
|
Immunogen: |
Synthetic peptide of human ADORA1 |
|
Full name: |
adenosine A1 receptor |
|
Synonyms: |
RDC7 |
|
SwissProt: |
P30542 |
|
ELISA Recommended dilution: |
2000-5000 |
|
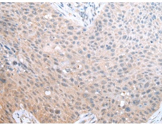
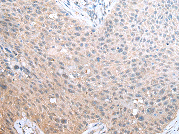
IHC positive control: |
Human lung cancer |
|
IHC Recommend dilution: |
25-100 |
購物車
幫助
021-54845833/15800441009
